Understanding Teeth Whitening in Aldridge
Teeth whitening has become a popular cosmetic procedure in Aldridge, with residents seeking brighter, more confident smiles. But before diving into the various whitening methods available, it’s crucial to understand the underlying causes of tooth discoloration. Discoloration can stem from various factors, impacting the enamel and dentin, the underlying layer of the tooth. Whether it’s a desire for a fresh start or simply wanting to boost your self-esteem, understanding teeth whitening in Aldridge is the first step towards achieving that perfect smile. This guide will delve into the secrets to achieving a dazzling smile, providing valuable insights and practical tips for anyone looking to enhance their pearly whites.
What Causes Tooth Discoloration
Tooth discoloration is a common concern, and understanding its causes is essential for effective whitening. The factors contributing to discolored teeth are varied, ranging from everyday habits to underlying medical conditions. These causes can generally be categorized into two main types Extrinsic and Intrinsic. Extrinsic stains affect the surface of the enamel, while intrinsic stains originate from within the tooth structure. Both types of stains can significantly impact the appearance of your smile, and knowing the difference helps you choose the right teeth whitening approach in Aldridge.
Common Causes of Staining

Several factors contribute to tooth staining. These common causes often work synergistically, exacerbating the discoloration over time. Regular exposure to these staining agents can lead to a gradual darkening of the teeth, making professional teeth whitening procedures in Aldridge a necessity for many individuals. Understanding these staining agents can help you make informed choices to preserve your teeth’s natural brightness and seek the appropriate treatments when needed. By addressing these factors, you can take proactive steps to maintain a brighter, healthier smile.
Foods and Drinks
Certain foods and drinks are notorious for staining teeth. These substances contain pigments that adhere to the enamel, leading to discoloration. Beverages like coffee, tea, and red wine are well-known culprits, with their dark pigments easily staining the teeth. Similarly, highly pigmented foods such as berries, curries, and soy sauce can contribute to staining. The acidity in some of these items can also erode the enamel, making teeth more susceptible to stains. If you are a resident of Aldridge, being mindful of what you consume is crucial for maintaining a bright smile. Limiting the intake of these staining substances and practicing good oral hygiene can help minimize discoloration.
Lifestyle Choices
Lifestyle choices also play a significant role in teeth discoloration. Smoking and tobacco use are major contributors to stained teeth, as the nicotine and tar in these products can leave yellowish-brown stains. Poor oral hygiene, including infrequent brushing and flossing, allows stains to accumulate and worsen over time. Other factors, such as certain medications (e.g., tetracycline) and aging, can also affect tooth color. For residents of Aldridge aiming for a radiant smile, adopting a healthy lifestyle and establishing a solid oral hygiene routine is crucial. Regular visits to your dentist in Aldridge will help in identifying and addressing any lifestyle-related issues impacting the appearance of your teeth.
The Top 5 Secrets to Teeth Whitening in Aldridge

Achieving a brighter smile is within reach with the right approach. Here are the top 5 secrets to teeth whitening in Aldridge, designed to guide you through the most effective methods for transforming your smile. Whether you prefer professional treatments or at-home solutions, these secrets offer a comprehensive overview of what it takes to achieve noticeable results. These tried-and-true methods ensure a brighter, more confident smile for all residents of Aldridge. Incorporating these strategies into your dental care routine will significantly enhance the effectiveness of your whitening efforts.
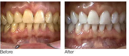
Secret 1 Professional Whitening Treatments
Professional teeth whitening treatments, often administered by a dentist in Aldridge, are among the most effective methods for achieving dramatic results quickly. These treatments typically involve the application of a high-concentration bleaching agent to the teeth, often activated by a special light or laser. The dentist carefully monitors the process to ensure both safety and effectiveness. These treatments can provide significant and immediate improvements in tooth shade, making them a preferred choice for many. Regular dental check-ups in Aldridge, followed by professional whitening sessions, are the cornerstone of maintaining a stunning, bright smile.
Benefits of Professional Whitening
Professional whitening offers several advantages over at-home methods. Firstly, the higher concentration of bleaching agents used by dental professionals leads to faster and more dramatic results. The process is carefully monitored by a dentist, minimizing the risk of side effects such as tooth sensitivity. Additionally, professional treatments are tailored to individual needs, addressing specific types of staining and ensuring even whitening. For those in Aldridge seeking optimal results with safety and efficiency, professional whitening is the gold standard. Benefits include rapid results, customized treatment, and expert supervision.
Secret 2 At-Home Whitening Kits

At-home whitening kits offer a convenient and cost-effective alternative to professional treatments. These kits typically include custom-fitted trays and a bleaching gel that the user applies at home. The convenience of these kits allows individuals in Aldridge to whiten their teeth on their schedule, at their own pace. While results may take longer to achieve compared to in-office treatments, at-home kits, when used correctly, can still provide noticeable improvements in tooth shade. Understanding the instructions and following them diligently is key to achieving the desired results without any complications.
How to Use At-Home Kits Safely
Using at-home whitening kits safely involves following the instructions provided by your dentist or the kit manufacturer. Before starting, it’s advisable to consult with a dentist in Aldridge to ensure that at-home whitening is appropriate for your teeth. Always use the trays and gel as directed, avoiding overuse to prevent sensitivity or gum irritation. Be sure to store the whitening gel properly, away from heat and direct sunlight. If you experience any sensitivity or discomfort, discontinue use and consult your dentist immediately. Consistent and safe use of the at-home kits is the key for achieving a radiant and healthy smile in Aldridge.
Secret 3 Maintaining Good Oral Hygiene
Good oral hygiene is the foundation of a bright, healthy smile. Regular brushing, flossing, and dental check-ups not only keep your teeth clean but also prevent stains from accumulating. This foundational approach, practiced diligently, amplifies the effects of any whitening treatment and is a must for residents of Aldridge wanting to maintain their brilliant smiles. Maintaining a robust oral hygiene routine not only boosts the effectiveness of whitening efforts but also ensures the long-term health of your teeth and gums.
Brushing and Flossing Techniques

Proper brushing and flossing techniques are essential for maintaining good oral hygiene. Brush your teeth at least twice a day for two minutes each time, using a fluoride toothpaste. Ensure you reach all surfaces of your teeth, including the front, back, and chewing surfaces. Floss daily to remove plaque and food particles from between your teeth, where a toothbrush can’t reach. Correct techniques are vital to maximize the cleaning and stain removal benefits. Residents of Aldridge who master these techniques will keep their teeth cleaner and brighter, making it easier to maintain a stunning smile.
Regular Dental Check-ups
Regular dental check-ups are vital for maintaining oral health and a bright smile. Your dentist in Aldridge can identify and address potential issues early, preventing more serious problems down the line. During check-ups, the dentist will perform a thorough cleaning to remove plaque and tartar, which can contribute to staining. Regular professional cleanings can significantly enhance the results of any whitening efforts. Regular dental check-ups, combined with good home care, are indispensable for achieving and maintaining a healthy, dazzling smile in Aldridge. Early detection of any dental problems allows for prompt and effective treatment.
Secret 4 Dietary Adjustments
Dietary adjustments play a crucial role in preventing tooth discoloration and maintaining a bright smile. The foods and drinks you consume directly impact the appearance of your teeth. Making informed choices about your diet can significantly reduce staining and enhance the effectiveness of whitening treatments. For those in Aldridge aiming for a dazzling smile, understanding which foods to avoid or limit, and which to embrace, is essential.
Foods to Avoid or Limit

Some foods and drinks are notorious for staining teeth. Coffee, tea, red wine, and dark-colored sodas are common culprits. Berries, such as blueberries and blackberries, as well as foods with high levels of pigment, like curries and soy sauce, can also contribute to staining. Limiting the intake of these items, or drinking them in moderation, can help preserve your teeth’s natural brightness. For residents in Aldridge who enjoy these items, rinsing the mouth with water after consumption can help minimize the staining effects. Making mindful choices about your diet is a crucial part of the battle for a brighter smile.
Foods that Can Help Whiten
Certain foods can actually help to whiten teeth naturally. Crunchy fruits and vegetables, such as apples, celery, and carrots, act as natural abrasives, helping to scrub away surface stains. Dairy products, like milk and yogurt, contain calcium, which strengthens the enamel and can help protect against stains. Drinking plenty of water can also help wash away food particles and prevent stains from setting in. Including these foods in your diet can support your teeth whitening efforts. Residents of Aldridge who embrace these tooth-friendly foods will be well on their way to achieving a brighter, healthier smile.
Secret 5 The Role of Whitening Toothpaste and Mouthwash
Whitening toothpaste and mouthwash can play a supportive role in maintaining a brighter smile. While they may not provide the same dramatic results as professional treatments or at-home kits, these products can help remove surface stains and prevent new ones from forming. For individuals in Aldridge, choosing the right products and understanding their limitations is key to maximizing their effectiveness. Used in conjunction with other whitening methods and good oral hygiene practices, they can contribute to an overall brighter and healthier smile.
Choosing the Right Products

When selecting whitening toothpaste and mouthwash, consider the ingredients and your specific needs. Look for products containing mild abrasives or hydrogen peroxide, which can help remove surface stains. Avoid products with harsh abrasives that may damage enamel over time. Read reviews and consult with your dentist in Aldridge to find products that suit your individual requirements. Choosing the right products, combined with consistent use, can contribute to a noticeably brighter and cleaner smile. Making an informed choice is the first step towards incorporating them into your daily oral hygiene routine.
Ingredients to Look For
Several ingredients in whitening toothpaste and mouthwash can help brighten teeth. Hydrogen peroxide is a common bleaching agent that effectively removes surface stains. Mild abrasives, such as silica, help scrub away stains without damaging the enamel. Fluoride is essential for strengthening enamel and protecting against decay. Ingredients like stannous fluoride also offer added benefits, fighting against sensitivity and gum disease. For residents in Aldridge, selecting products with these key ingredients is essential for maximizing their teeth whitening efforts. Examining product labels and making informed choices about these ingredients can significantly improve the efficacy of the whitening products.
Maximizing Your Teeth Whitening Results
To maximize your teeth whitening results, consider these comprehensive strategies. Combining professional treatments, at-home kits, good oral hygiene, dietary adjustments, and the use of whitening toothpaste and mouthwash offers the best approach. By incorporating these strategies, residents of Aldridge can achieve the dazzling smiles they desire and maintain them for the long term. A comprehensive approach ensures both effective results and the long-term health of your teeth. Follow these guidelines to achieve and preserve a bright, healthy smile.
