The Power of Austin Zoom Teeth Whitening
Are you dreaming of a brighter, more confident smile? In the vibrant city of Austin, Texas, Zoom teeth whitening offers a revolutionary solution to achieve just that. This advanced cosmetic dentistry procedure has become increasingly popular, providing a fast, effective, and safe way to remove stains and discoloration, leaving you with a dazzling smile. This article delves into the top five benefits of Zoom teeth whitening in Austin, helping you understand why it’s the preferred choice for many seeking a radiant smile. We’ll explore the advantages, from quick results to long-lasting effects, professional expertise, and enhanced oral health, providing valuable insights to help you make an informed decision.
Boost Your Confidence with a Brighter Smile
A brighter smile can significantly boost your self-esteem and overall confidence. Zoom teeth whitening can dramatically improve the appearance of your teeth, removing years of stains caused by coffee, tea, wine, and other factors. The procedure offers an instant transformation, providing a noticeable improvement in just one visit to your Austin dentist. This instant gratification allows you to feel more comfortable in social situations and professional settings. The positive impact extends beyond aesthetics, as a confident smile can lead to improved interactions and a more positive self-image. Investing in Zoom teeth whitening is an investment in your personal and professional life, giving you the confidence to shine.
Austin Zoom Teeth Whitening Benefit 1 Quick Results

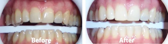
One of the most significant advantages of Zoom teeth whitening is the speed at which you can achieve results. Unlike over-the-counter whitening products that may take weeks to show noticeable improvements, Zoom offers visible whitening in a single session. The in-office procedure, typically completed in about an hour, involves a professional-strength whitening gel activated by a special light. This process breaks down stains and discoloration rapidly, giving you a significantly brighter smile in a short amount of time. The convenience of quick results makes Zoom a perfect choice for those with busy schedules or those looking for an immediate smile makeover.
Experience Visible Whitening in One Session
The immediate impact of Zoom teeth whitening is a major draw for many patients. You can walk into your Austin dentist’s office with stained or discolored teeth and leave with a noticeably brighter smile after just one appointment. This instant transformation is a game-changer for special events, job interviews, or simply boosting your self-esteem. The advanced technology and professional-grade whitening agents used in the procedure ensure a high level of effectiveness, delivering results that are often several shades whiter. The convenience of a single-session treatment makes it a highly desirable option for those seeking rapid improvements in their smile’s appearance.
Why Speed Matters in Teeth Whitening
In today’s fast-paced world, the speed of treatment is often a critical factor. Zoom teeth whitening offers the convenience of achieving dramatic results quickly. This is particularly beneficial for individuals with time constraints or those who want immediate results. Whether you’re preparing for a wedding, a business meeting, or a vacation, the ability to whiten your teeth in a single session is a significant advantage. The efficiency of Zoom whitening means you can achieve a brighter smile without the long wait associated with other methods, allowing you to enjoy your enhanced appearance sooner.
Austin Zoom Teeth Whitening Benefit 2 Reduced Sensitivity

While teeth whitening can sometimes cause temporary sensitivity, Zoom teeth whitening in Austin is designed to minimize this side effect. The advanced formula of the whitening gel and the careful application by dental professionals help to reduce the likelihood of sensitivity. Furthermore, dentists often use desensitizing agents before and after the procedure to protect your teeth and gums. This ensures a more comfortable experience, allowing you to enjoy the benefits of a brighter smile without significant discomfort. Many patients report little to no sensitivity, making Zoom a comfortable and effective whitening solution.
Understanding and Minimizing Teeth Sensitivity
Teeth sensitivity is a common concern with any teeth whitening procedure, but Zoom whitening protocols are designed to reduce this risk. Your Austin dentist will take steps to protect your gums and teeth, such as applying a protective barrier before the procedure. They will also provide detailed instructions on how to manage any potential sensitivity after the treatment, including recommending specialized toothpaste or fluoride treatments. The professional expertise and advanced technology used in Zoom whitening ensure that your comfort is a top priority, allowing you to achieve a brighter smile with minimal discomfort.
Post-Whitening Care to Protect Your Teeth
To further minimize sensitivity and maintain the results of your Zoom teeth whitening, your dentist will provide detailed post-whitening care instructions. These may include using desensitizing toothpaste, avoiding highly acidic foods and drinks for a few days, and maintaining good oral hygiene practices. Your dentist may also recommend touch-up treatments to maintain the brightness of your smile over time. Following these guidelines will help you enjoy the long-term benefits of your whitening treatment and keep your teeth healthy and vibrant. Proper aftercare is crucial to preserving your newly whitened teeth.
Austin Zoom Teeth Whitening Benefit 3 Long-Lasting Results

Zoom teeth whitening offers results that can last for an extended period, typically several months to a few years, depending on your lifestyle and oral hygiene habits. The professional-grade whitening agents used in the procedure penetrate deep into the enamel, effectively removing stains and discoloration. While the longevity of the results can vary, proper care and maintenance can significantly extend the life of your brighter smile. Regular dental check-ups and touch-up treatments can help maintain the stunning results of your Zoom teeth whitening, making it a worthwhile investment for your smile.
Maximizing the Longevity of Your Whitening
To maximize the lifespan of your Zoom teeth whitening results, it’s important to adopt a few key habits. Avoiding or limiting staining foods and drinks like coffee, tea, red wine, and berries can help prevent discoloration. Maintaining excellent oral hygiene, including brushing twice a day, flossing daily, and regular dental cleanings, is also essential. Your dentist may recommend at-home touch-up treatments to maintain the brightness of your smile. By following these recommendations, you can enjoy your beautifully whitened teeth for a longer duration and keep your smile looking its best.
Maintaining Your Smile’s Brightness
Maintaining your smile’s brightness involves a combination of professional care and diligent home care. Regular dental check-ups and cleanings are crucial for removing surface stains and keeping your teeth healthy. Your dentist can also provide touch-up treatments to revitalize your whitening results. At home, using a whitening toothpaste and avoiding excessive consumption of stain-causing substances can help preserve your bright smile. By incorporating these practices into your daily routine, you can enjoy a vibrant and confident smile for years to come, making your investment in Zoom teeth whitening a lasting benefit.
Austin Zoom Teeth Whitening Benefit 4 Professional Expertise

One of the most significant advantages of Zoom teeth whitening in Austin is the expertise of dental professionals. The procedure is performed in a controlled environment by trained dentists and hygienists, ensuring safety and effectiveness. These professionals have the knowledge and experience to assess your oral health, customize the treatment to your specific needs, and monitor your progress throughout the process. This professional care minimizes the risk of complications and maximizes the chances of achieving optimal results. Choosing Zoom teeth whitening in Austin means putting your smile in the hands of trusted dental experts.
The Advantages of a Dental Professional
Dental professionals bring a wealth of knowledge and experience to the Zoom teeth whitening procedure. They can accurately assess your teeth, gums, and overall oral health to determine if Zoom whitening is the right choice for you. They also have access to professional-grade whitening agents and equipment that are more effective than over-the-counter options. During the procedure, they can monitor your teeth for sensitivity and adjust the treatment as needed. Furthermore, they can provide valuable advice on post-whitening care to help you maintain your results and keep your smile healthy. The expertise of a dental professional ensures a safe and successful teeth whitening experience.
Ensuring a Safe and Effective Whitening Process
Safety and effectiveness are paramount in teeth whitening, and choosing a qualified dental professional is crucial. Dentists follow strict protocols to protect your gums and teeth, ensuring a comfortable and safe experience. They use advanced techniques and technology to maximize the whitening effects while minimizing potential side effects. Before the procedure, they will conduct a thorough examination to identify any potential issues, such as cavities or gum disease, and address them accordingly. This comprehensive approach guarantees a safe, effective, and satisfying teeth whitening experience.
Austin Zoom Teeth Whitening Benefit 5 Enhanced Oral Health

Beyond cosmetic improvements, Zoom teeth whitening can also contribute to your overall oral health. The process encourages good oral hygiene habits, as you’ll likely be more motivated to maintain your brighter smile. Regular dental check-ups and cleanings, which are often part of the teeth whitening process, help in the early detection of dental issues. By investing in Zoom teeth whitening, you’re not just enhancing your appearance; you’re also taking a proactive step towards maintaining a healthy mouth and a beautiful smile. This commitment to oral health can lead to a greater overall well-being.
The Role of Teeth Whitening in Overall Health
Teeth whitening can be a catalyst for improved oral hygiene practices. Seeing a brighter smile often motivates individuals to take better care of their teeth, leading to improved brushing, flossing, and regular dental check-ups. These habits are essential for preventing cavities, gum disease, and other oral health problems. Furthermore, a healthy mouth is linked to overall health, as oral infections can impact the rest of your body. By investing in Zoom teeth whitening, you’re taking a proactive step towards not only a beautiful smile but also better overall health. The motivation gained from a brighter smile can lead to lasting positive changes in your oral health.
Combining Whitening with Dental Hygiene
Zoom teeth whitening works best when combined with excellent dental hygiene practices. Regular brushing and flossing, along with professional cleanings, are essential for maintaining your results and keeping your teeth healthy. Your dentist may also recommend specific oral hygiene products and techniques to enhance your smile and prevent future staining. By integrating Zoom teeth whitening into a comprehensive oral health routine, you can enjoy a radiant and healthy smile for years to come. This combined approach ensures that your teeth not only look their best but are also in optimal condition.
In conclusion, Zoom teeth whitening in Austin offers a multitude of benefits, including quick results, reduced sensitivity, long-lasting effects, professional expertise, and enhanced oral health. If you’re considering teeth whitening, Zoom is an excellent choice to achieve a brighter, more confident smile. Consult with a qualified Austin dentist to determine if Zoom teeth whitening is right for you and start your journey to a more radiant and beautiful smile today.
