Understanding Dental Bonding
Dental bonding is a versatile and minimally invasive cosmetic dentistry procedure used to repair or enhance the appearance of teeth. It involves applying a tooth-colored resin material to the tooth’s surface, which is then sculpted, hardened with a special light, and polished to match the surrounding teeth. This procedure can address various dental imperfections, such as chips, cracks, gaps, and discoloration, offering a cost-effective alternative to more extensive treatments like veneers or crowns. It is a popular choice for those seeking to improve their smile quickly and effectively.
What is Dental Bonding?
Dental bonding, also known as composite bonding, uses a resin material made of plastic and glass. The dentist carefully selects a shade that complements the patient’s natural teeth. The process begins with preparing the tooth surface, which often involves roughening it slightly to ensure the bonding material adheres properly. The resin is then applied, molded to the desired shape, and cured using a special curing light. This hardens the resin, and the dentist then polishes the bonded area to blend seamlessly with the surrounding teeth, creating a natural and aesthetically pleasing result.
The Procedure Explained

The dental bonding procedure is typically straightforward and can be completed in a single visit. The dentist starts by selecting a shade of composite resin that matches the natural color of the patient’s teeth. The tooth’s surface is then prepared by roughening it slightly to promote adhesion. The bonding material is applied and sculpted to the desired shape, filling in any chips, cracks, or gaps. A special curing light is then used to harden the resin, after which the dentist carefully polishes the bonded area to ensure a smooth and natural finish. The entire process is usually painless and can be completed within an hour per tooth.
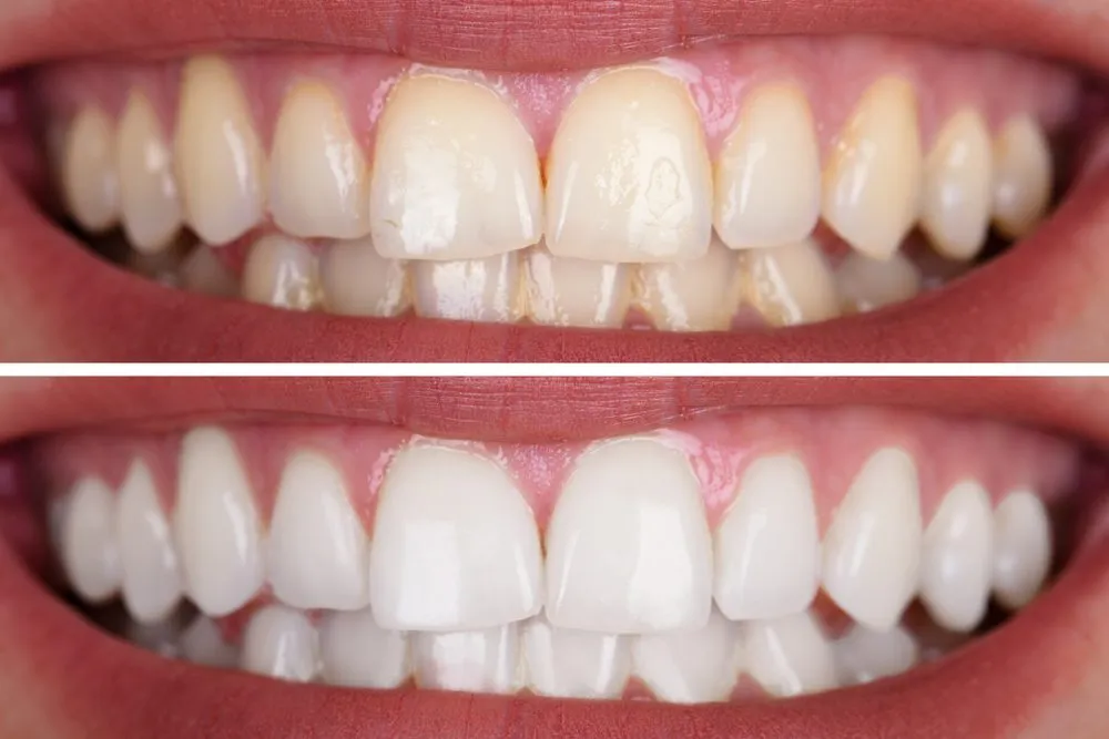
Dental Bonding for Teeth Whitening Top 5 Benefits
Dental bonding offers a range of benefits, making it an attractive option for many seeking to improve their smile. It can effectively address various aesthetic concerns, providing a significant boost to self-confidence. When combined with teeth whitening, the results can be even more dramatic, creating a brighter, more uniform smile. Here are the top 5 benefits to consider:
Benefit 1 Enhanced Aesthetics
One of the primary advantages of dental bonding is its ability to significantly enhance the appearance of your teeth. It can correct imperfections such as chips, cracks, and gaps between teeth, resulting in a more aesthetically pleasing smile. The composite resin is carefully matched to the natural color of your teeth, ensuring a seamless blend. This makes dental bonding an excellent choice for those seeking a natural-looking and improved smile. The enhanced aesthetics can boost your confidence and make a positive impact on your social interactions.
How Dental Bonding Improves Appearance

Dental bonding improves appearance by correcting various cosmetic issues. It can close gaps between teeth, repair chipped or cracked teeth, and reshape teeth that are misshapen or too small. The dentist can also use bonding to cover stains that teeth whitening might not fully address. By meticulously sculpting and matching the composite resin to the natural tooth color, the dentist creates a seamless and natural-looking result. This provides patients with a more attractive and confident smile, significantly enhancing their overall facial aesthetics.
Benefit 2 Cost-Effectiveness
Compared to other cosmetic dental procedures, such as veneers or crowns, dental bonding is often a more affordable option. This makes it accessible to a wider range of individuals seeking to improve their smile. While the cost varies depending on factors like the number of teeth treated and the complexity of the case, bonding generally represents a cost-effective solution for achieving significant aesthetic improvements. This affordability allows more people to experience the benefits of a beautiful and confident smile without a significant financial burden.
Comparing Costs with Other Treatments
When comparing dental bonding to other cosmetic treatments like veneers or crowns, the cost difference is often noticeable. Veneers and crowns typically involve more extensive procedures, including laboratory work and multiple appointments, leading to higher expenses. Dental bonding, on the other hand, is a more straightforward process that can often be completed in a single visit. This reduces the overall cost, making bonding an attractive option for those seeking a more budget-friendly solution to enhance their smile. The cost-effectiveness of bonding allows patients to achieve their desired results without compromising their financial plans.
Benefit 3 Minimal Tooth Alteration

Dental bonding is a conservative treatment option, meaning it requires minimal alteration of the natural tooth structure. Unlike procedures like veneers, which often require the removal of a small amount of enamel, bonding typically involves little to no preparation of the tooth. This preservation of the natural tooth structure is a significant advantage, helping to maintain the tooth’s strength and integrity. This makes dental bonding a less invasive procedure, often preferred by patients who want to avoid extensive dental work while still achieving significant cosmetic improvements.
The Conservative Approach
The conservative approach of dental bonding is highly valued because it prioritizes preserving the natural tooth. The procedure involves little to no removal of the tooth’s enamel, which is crucial for the long-term health and strength of the tooth. This approach reduces the risk of sensitivity and other potential complications associated with more invasive treatments. By choosing dental bonding, patients benefit from a minimally invasive procedure that effectively addresses cosmetic concerns while maintaining the integrity of their natural teeth, leading to a healthier and more sustainable outcome.
Benefit 4 Quick Procedure
Dental bonding is known for its speed and efficiency, often completed in a single dental visit. This makes it a convenient option for individuals with busy schedules who want to improve their smile without multiple appointments. The entire process, from preparation to the final polish, can usually be done within an hour or two per tooth. This fast turnaround allows patients to see immediate results and enjoy their enhanced smile quickly, making dental bonding a preferred choice for those seeking a rapid and effective cosmetic solution.
The Fast Track to a Brighter Smile

The speed of dental bonding is a significant advantage for patients wanting a quick smile makeover. Unlike treatments that require multiple visits or lab work, bonding offers a fast and efficient solution. The dentist can typically complete the procedure in a single session, allowing patients to leave the office with an improved smile the same day. This quick turnaround is especially appealing for individuals looking for immediate aesthetic enhancements without long waiting periods, providing an instant boost in confidence and a more attractive appearance.
Benefit 5 Versatility
Dental bonding is a versatile treatment option that can address a wide range of cosmetic concerns. It can be used to repair chipped or cracked teeth, close gaps between teeth, reshape misshapen teeth, and cover up discoloration or stains. This versatility makes dental bonding a flexible solution for various dental imperfections. The ability to address multiple issues with a single procedure makes bonding a comprehensive approach to improving the overall appearance of a smile, providing patients with a more confident and attractive look.
Addressing Multiple Concerns
The adaptability of dental bonding allows it to address a variety of cosmetic issues simultaneously. Whether it’s correcting chips, closing gaps, or covering stains, bonding provides a comprehensive solution. This is particularly beneficial for patients with multiple concerns, as it allows them to achieve a more uniform and attractive smile with a single procedure. The dentist can customize the bonding to address the specific needs of each patient, creating a personalized treatment plan that delivers optimal results and a more harmonious appearance.
Combining Dental Bonding and Teeth Whitening A Synergistic Approach

Combining dental bonding with teeth whitening can create a powerful synergistic effect, leading to a significantly improved and brighter smile. Teeth whitening can address general discoloration, while dental bonding can fix specific imperfections like chips, cracks, or gaps. Together, these treatments provide a comprehensive approach to cosmetic dentistry, enhancing both the color and the shape of your teeth. This combination offers patients a truly transformative experience, resulting in a more radiant and confident smile.
When to Consider Both Treatments?
Consider combining dental bonding and teeth whitening if you have both discoloration and structural imperfections. If your teeth are generally stained or yellowed, whitening can brighten your overall smile. However, if you also have chips, cracks, or gaps, dental bonding is needed to fix these issues. The combined approach ensures both a brighter and more aesthetically pleasing smile. Consult your dentist to determine the best sequence and timing of these treatments to achieve the most effective results.
Teeth Whitening Before or After Bonding?
The timing of teeth whitening and dental bonding is crucial for achieving the best results. Typically, teeth whitening is done before dental bonding. This is because the bonding material is matched to the shade of your existing teeth. If you whiten your teeth after bonding, the bonded areas will not whiten, creating a mismatch in color. Whitening first ensures the bonding material is matched to the desired shade of your brighter teeth, providing a consistent and natural-looking smile. Always consult with your dentist to determine the best approach.
The Ideal Candidates for Dental Bonding and Whitening

Dental bonding and teeth whitening are excellent options for many individuals seeking to enhance their smiles. However, it’s important to understand the ideal candidates for these procedures to ensure optimal results. Consulting with a dentist is crucial to determine if these treatments are right for you.
Who is a Good Fit?
Good candidates for dental bonding and teeth whitening typically include individuals with minor cosmetic issues such as chipped or cracked teeth, small gaps, or surface stains. Those looking for a cost-effective and minimally invasive treatment option often benefit greatly from these procedures. Patients with generally healthy teeth and gums, but who are unhappy with the appearance of their smile, are also excellent candidates. A consultation with a dentist will help determine if these treatments align with your specific needs and goals, ensuring a successful outcome.
Who Might Not Be a Good Fit?
Individuals with severe dental issues, such as extensive tooth decay, significant misalignment, or severe bite problems, might not be ideal candidates for dental bonding and teeth whitening. Those with deep stains that are resistant to whitening treatments may also need alternative solutions like veneers or crowns. Additionally, individuals who grind their teeth may not be suitable, as bonding can be susceptible to damage. Consulting with a dentist is crucial to assess your oral health and determine the most appropriate treatment plan for your unique situation.
Maintaining Your New Smile
Maintaining your new smile after dental bonding and teeth whitening is essential for ensuring long-lasting results. Proper oral hygiene and regular dental check-ups are key to preserving the appearance and health of your teeth. Following these simple tips can help you enjoy your brighter, more beautiful smile for years to come.
Post-Treatment Care Tips
After dental bonding and teeth whitening, follow these post-treatment care tips. Brush your teeth twice a day with a soft-bristled toothbrush and fluoride toothpaste. Floss daily to remove plaque and food particles from between your teeth. Avoid excessive consumption of staining foods and drinks like coffee, tea, and red wine. Schedule regular dental check-ups and professional cleanings to maintain your results. Consider using a whitening toothpaste or mouthwash to help maintain your brighter smile.
Longevity of Bonding and Whitening
The longevity of dental bonding and teeth whitening varies. Bonding typically lasts for several years, often between 3 to 10 years, depending on factors like oral hygiene and lifestyle habits. Teeth whitening results can last from several months to a few years, also depending on individual habits and the type of whitening treatment. Regular dental check-ups, proper oral hygiene, and avoiding staining substances can help extend the lifespan of both treatments, ensuring your smile remains bright and beautiful for as long as possible.
