The Benefits of Teeth Whitening in Lancaster, CA
Teeth whitening has become increasingly popular in Lancaster, CA, and for good reason. A brighter, more radiant smile can significantly impact your overall appearance, self-esteem, and even your social interactions. Whether you’re considering professional teeth whitening treatments or exploring at-home options, understanding the benefits is crucial. This article will explore the top 5 advantages of teeth whitening in Lancaster, CA, helping you make an informed decision about achieving your best smile. From boosting confidence to improving oral health, teeth whitening offers a multitude of positive outcomes. Let’s dive into the specifics of how teeth whitening can transform your smile and your life.
Boost Your Confidence
One of the most immediate and noticeable benefits of teeth whitening is a significant boost in confidence. A bright, white smile can make you feel more attractive, self-assured, and ready to take on the world. This enhanced self-esteem can positively impact various aspects of your life, from personal relationships to professional endeavors. Many individuals in Lancaster, CA, report feeling more comfortable smiling and interacting with others after undergoing teeth whitening treatments. The psychological impact of having a beautiful smile should not be underestimated. Smiling more often can release endorphins, further enhancing your mood and overall sense of well-being. This positive feedback loop makes teeth whitening a powerful tool for self-improvement.
How a Brighter Smile Improves Social Interactions

A bright smile is often the first thing people notice. It conveys warmth, approachability, and friendliness. In social settings, a white smile can make you feel more comfortable, allowing you to connect with others more easily. A genuine smile is often seen as a sign of trustworthiness and happiness, which can enhance your relationships with friends, family, and even strangers. In Lancaster, CA, where social interactions are common, the ability to present yourself with confidence is invaluable. A confident smile can open doors, fostering positive interactions and creating lasting impressions. The positive feedback from others also boosts your own self-esteem.
The Psychological Impact of Whiter Teeth
Beyond social interactions, the psychological impact of whiter teeth extends to your self-perception. When you feel good about your smile, you’re more likely to feel good about yourself overall. This positive self-image can lead to increased self-esteem, reduced anxiety, and a more optimistic outlook on life. Teeth whitening can be a catalyst for self-improvement, inspiring you to take better care of your oral health and overall well-being. It can be a powerful reminder of self-care and can motivate individuals in Lancaster, CA, to adopt healthier habits. The simple act of whitening your teeth can trigger a cascade of positive changes, making it a worthwhile investment in your mental and emotional health.
Enhanced Oral Health
While the primary goal of teeth whitening is cosmetic, it can indirectly contribute to better oral health. A brighter smile often motivates individuals to maintain good oral hygiene practices, such as regular brushing, flossing, and dental check-ups. These habits are crucial for preventing tooth decay, gum disease, and other oral health issues. In Lancaster, CA, where access to quality dental care is readily available, teeth whitening can serve as a starting point for a comprehensive approach to dental wellness. By investing in teeth whitening, you’re also investing in your overall oral health, ensuring a healthier and more vibrant smile for years to come.
The Connection Between Teeth Whitening and Oral Hygiene

The desire for a whiter smile often encourages individuals to pay closer attention to their oral hygiene routine. This includes brushing twice a day, flossing daily, and using mouthwash. These practices are essential for removing plaque, preventing cavities, and maintaining healthy gums. Teeth whitening can act as a visual reminder of the importance of oral hygiene, leading to improved habits. Regular dental check-ups and professional cleanings are also essential components of a comprehensive oral health strategy. A consistent oral hygiene routine, coupled with teeth whitening, can result in a healthier, more attractive smile in Lancaster, CA, and beyond.
Preventing Stains and Maintaining a Healthy Smile
Once you have achieved a brighter smile through teeth whitening, it’s important to take steps to prevent future staining. This includes avoiding or limiting consumption of stain-causing foods and drinks, such as coffee, tea, red wine, and dark berries. Quitting smoking is also crucial, as tobacco use is a major contributor to tooth discoloration. Regular dental cleanings and professional maintenance treatments can help maintain your results and keep your smile healthy. By adopting a proactive approach to oral health, you can enjoy the benefits of your teeth whitening treatment for an extended period. Maintaining a healthy lifestyle and oral hygiene routine is key to sustaining a bright, healthy smile in Lancaster, CA.
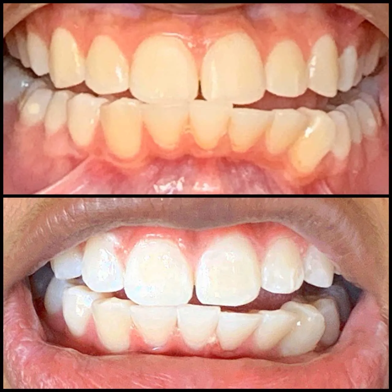
Improved Aesthetics
Teeth whitening is a quick and effective way to enhance the overall appearance of your smile. Stained or discolored teeth can detract from your facial features and make you look older. Whitening treatments can reverse these effects, giving you a more youthful and vibrant appearance. In Lancaster, CA, where people value their appearance, teeth whitening can be a transformative experience. A brighter smile can complement your skin tone, making your face appear more radiant. The aesthetic improvement can boost your self-esteem and leave you feeling more confident and attractive. Investing in teeth whitening is investing in a more attractive you.
The Impact of Whiter Teeth on Overall Appearance

A bright, white smile can significantly improve your overall appearance. It can make your face appear more symmetrical and balanced, drawing attention to your positive features. Whiter teeth can also create a more youthful look, as teeth tend to darken with age. The contrast between white teeth and the skin can make you look healthier and more vibrant. In Lancaster, CA, where image is important, teeth whitening can be a powerful tool for enhancing your overall aesthetic appeal. It can boost your confidence and make you feel more comfortable in social and professional settings. The positive effects on your appearance can extend beyond the superficial, positively impacting your self-perception and overall well-being.
Different Teeth Whitening Options Available
Various teeth whitening options are available in Lancaster, CA, each offering different levels of effectiveness and convenience. Professional whitening treatments, performed by a dentist, are the most effective and provide the fastest results. These treatments often use high-concentration bleaching agents and can whiten teeth several shades in a single session. At-home whitening kits, available over-the-counter or prescribed by a dentist, are a more affordable option but may take longer to achieve noticeable results. These kits typically involve using whitening strips, trays, or toothpastes. The best option for you will depend on your individual needs and preferences. Consulting with a dentist in Lancaster, CA, can help you determine the most suitable treatment plan.
Increased Value of your Investment
Teeth whitening can be seen as a worthwhile investment in your appearance and overall well-being. While the cost may vary depending on the chosen treatment, the long-term benefits often outweigh the initial expense. A brighter smile can boost your confidence, improve your social interactions, and enhance your professional opportunities. The positive impact on your self-esteem can translate into a more fulfilling and successful life. In Lancaster, CA, where residents value their appearance and strive for self-improvement, teeth whitening can be considered a valuable investment. The ability to smile confidently and present yourself in the best possible light is a significant advantage in today’s world.
Why a brighter smile is worth the cost

The cost of teeth whitening should be viewed in the context of its numerous benefits. The psychological and social advantages of a brighter smile can significantly improve your quality of life. The boost in confidence and self-esteem can positively impact your personal and professional relationships. The improved aesthetics can enhance your overall appearance, making you feel more attractive and youthful. While the initial cost may seem significant, the long-term benefits often make teeth whitening a worthwhile investment. In Lancaster, CA, where residents are conscious of their appearance and oral health, the value of a brighter smile extends far beyond the monetary cost.
Long-term benefits and savings of teeth whitening
Investing in professional teeth whitening can potentially lead to long-term savings. By removing stains and discoloration, whitening treatments can make your teeth appear healthier and more attractive, reducing the need for cosmetic procedures. Furthermore, a brighter smile can motivate you to maintain good oral hygiene, which can help prevent cavities, gum disease, and other dental problems. In Lancaster, CA, where preventive dental care is accessible, the long-term benefits of teeth whitening can be significant. By taking care of your teeth and investing in your smile, you can potentially reduce the need for extensive and costly dental work down the line. The cost of teeth whitening can therefore be viewed as a strategic investment in your oral health and overall well-being.
Professional Teeth Whitening vs DIY
When considering teeth whitening in Lancaster, CA, you have two primary options: professional treatments administered by a dentist or over-the-counter (OTC) DIY methods. Each approach has its advantages and disadvantages, and the best choice depends on your individual needs, budget, and desired results. Professional whitening typically involves stronger bleaching agents and is performed under the supervision of a dental professional, ensuring safety and effectiveness. DIY methods, such as whitening strips and toothpastes, are more affordable and convenient but may not yield the same dramatic results or be suitable for all types of stains. Understanding the differences between these options is crucial to making an informed decision.
The Advantages of Professional Teeth Whitening in Lancaster, CA

Professional teeth whitening offers several advantages over DIY methods. Dentists in Lancaster, CA, have access to stronger bleaching agents that can effectively remove deep stains and discoloration. These treatments are performed in a controlled environment, minimizing the risk of sensitivity or other side effects. Professional whitening often provides faster and more dramatic results, with teeth whitening several shades brighter in a single session. Dentists can also assess your oral health and determine if you are a good candidate for whitening, ensuring a safe and effective treatment. Additionally, professional treatments can address complex cases, such as tetracycline staining or intrinsic discoloration, that may not respond well to DIY methods. The expertise and precision of a dentist can lead to superior results and a more satisfying outcome.
Why Choose a Dentist in Lancaster
Choosing a dentist for teeth whitening in Lancaster, CA, provides several benefits. Dentists have the training and expertise to safely and effectively whiten your teeth. They can assess your oral health, identify any underlying issues, and recommend the most appropriate treatment plan. Professional whitening treatments are often more potent than OTC products, leading to faster and more dramatic results. Dentists can also customize the treatment to meet your individual needs and preferences. You’ll have access to the latest technology and techniques. Choosing a qualified dentist ensures you receive a safe, effective, and personalized teeth whitening experience. The peace of mind and superior results make professional teeth whitening a worthwhile investment.
The Safety and Effectiveness of Professional Treatments
Professional teeth whitening treatments are designed to be safe and effective under the supervision of a dental professional. Dentists in Lancaster, CA, follow strict protocols to protect your gums and teeth during the whitening process. They use high-quality bleaching agents and advanced techniques to minimize the risk of sensitivity or other side effects. Prior to treatment, dentists will conduct a thorough examination to assess your oral health and determine if you are a suitable candidate for whitening. This ensures that the treatment is safe and effective. Professional teeth whitening offers predictable and consistent results, giving you the bright, white smile you desire. The focus on safety and effectiveness is a key advantage of professional treatments.
DIY Teeth Whitening Methods: Pros and Cons

DIY teeth whitening methods, such as whitening strips, toothpastes, and trays, offer convenience and affordability. These options are readily available at drugstores and supermarkets, making them accessible to a wide range of individuals in Lancaster, CA. The main advantage of DIY methods is their lower cost compared to professional treatments. They are also convenient, allowing you to whiten your teeth at home on your own schedule. However, DIY methods have some limitations. They typically contain lower concentrations of bleaching agents, which may result in less dramatic results. The effectiveness of these methods can also vary depending on the type and severity of your stains. It’s essential to carefully follow the instructions and be aware of potential risks.
Potential Risks and Limitations of DIY Options
DIY teeth whitening methods come with potential risks and limitations that you should be aware of. Overuse of whitening products can lead to tooth sensitivity and gum irritation. Some DIY products may not be as effective as professional treatments in removing deep stains or discoloration. In some cases, DIY whitening can cause uneven results, with certain areas of your teeth appearing brighter than others. The lack of professional supervision increases the risk of improper use and potential complications. It’s crucial to carefully read and follow the instructions and consult with a dentist if you experience any adverse effects. Those in Lancaster, CA, should consider the potential risks and limitations before choosing a DIY option.
When to Seek Professional Help
It’s advisable to seek professional help in several situations. If you have significant tooth stains, discoloration, or sensitivity, professional whitening may be the best option. A dentist can assess the cause of your staining and recommend the most effective treatment. If you have existing dental work, such as fillings or crowns, professional whitening can help ensure a consistent and even result. Those with sensitive teeth or a history of gum disease should consult with a dentist before using any whitening product. Additionally, if you’re not satisfied with the results of DIY methods, a dentist can provide a more effective and personalized solution. Consulting a dentist in Lancaster, CA, can help you make informed decisions and achieve a safe and beautiful smile.
Choosing the Right Teeth Whitening Provider in Lancaster, CA
Selecting the right teeth whitening provider in Lancaster, CA, is crucial for achieving optimal results and ensuring a safe and positive experience. With numerous dental practices offering whitening treatments, it’s important to do your research and choose a provider that meets your needs. Consider factors such as the dentist’s experience, patient reviews, cost, and available payment options. Taking the time to find a reputable and qualified provider can make a significant difference in your teeth whitening journey.
Factors to Consider When Choosing a Dentist
When choosing a dentist for teeth whitening in Lancaster, CA, several factors should be considered. Look for a dentist with experience in cosmetic dentistry and a proven track record of successful whitening treatments. Check online reviews and testimonials to gauge patient satisfaction and the quality of the dentist’s work. Consider the dentist’s use of the latest technology and techniques, as this can impact the effectiveness and safety of the treatment. Schedule a consultation to discuss your needs, ask questions, and assess the dentist’s communication style. Ensure that the dentist is licensed, insured, and committed to providing high-quality dental care. Researching your options is a crucial first step.
Experience and Expertise
The experience and expertise of the dentist are critical factors to consider. Look for a dentist with extensive experience in cosmetic dentistry, specifically teeth whitening. A dentist with experience is likely to have a better understanding of the different whitening techniques and can tailor the treatment to your individual needs. Check the dentist’s credentials, including their education, training, and any certifications related to cosmetic dentistry. Ask about the dentist’s experience with different types of stains and discoloration, as well as their approach to managing potential side effects. A dentist with a strong knowledge base and a commitment to continuing education is more likely to provide excellent results.
Patient Reviews and Testimonials
Patient reviews and testimonials provide valuable insights into the quality of care provided by a dentist. Read online reviews from other patients to learn about their experiences with teeth whitening, including the results they achieved, the level of customer service, and any potential issues they encountered. Look for reviews that specifically mention teeth whitening and the dentist’s approach to the treatment. Pay attention to the overall sentiment of the reviews, as well as any recurring themes or concerns. If possible, ask the dentist for referrals or contact former patients directly to gather more information. Patient reviews can help you make an informed decision and choose a dentist who is a good fit for your needs.
Cost and Payment Options
The cost of teeth whitening is an important factor to consider. In Lancaster, CA, the prices for teeth whitening treatments can vary depending on the type of treatment, the dentist’s fees, and the complexity of your case. Request a detailed estimate from the dentist, including all associated costs. Inquire about payment options, such as financing plans or payment installments. Some dental practices offer special promotions or discounts on teeth whitening treatments. Ensure that you understand the terms of any payment plan before committing to treatment. Discuss your budget with the dentist and explore different options that fit your financial needs. Transparency about costs is essential.
Understanding the Costs Involved
The cost of teeth whitening can vary based on several factors, including the type of treatment, the dentist’s fees, and the complexity of your case. Professional teeth whitening treatments, such as in-office whitening, generally cost more than DIY methods. The cost may include the initial consultation, the whitening procedure, and any necessary follow-up appointments. Request a detailed breakdown of the costs from the dentist to understand what is included. Be wary of practices that offer excessively low prices, as this may indicate the use of lower-quality materials or techniques. Be sure to ask about any potential hidden fees. Understanding the costs involved allows you to make informed decisions and budget accordingly.
Payment Plans and Insurance Coverage
Some dental practices in Lancaster, CA, offer payment plans or financing options to make teeth whitening more affordable. Inquire about these options during your consultation. While teeth whitening is generally considered a cosmetic procedure and is not typically covered by insurance, some dental plans may offer partial coverage for certain treatments. Check with your insurance provider to determine if any benefits are available. Discuss payment options with the dentist and explore whether any discounts or promotions are available. By understanding the payment options and exploring potential insurance coverage, you can make informed decisions about the cost of teeth whitening.
