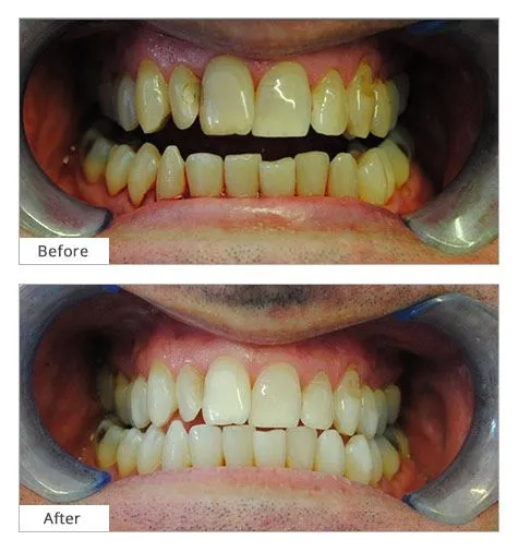
What is Teeth Whitening at the Dentist?
Teeth whitening at a dentist’s office is a cosmetic dental procedure designed to lighten the color of your teeth and remove stains and discoloration. Unlike over-the-counter products, professional teeth whitening offers stronger bleaching agents and is administered under the supervision of a dental professional. This ensures a safer and more effective treatment, providing significant improvements in the brightness of your smile. The process typically involves applying a whitening agent to the teeth, which then breaks down stain molecules, resulting in a noticeably whiter and more radiant appearance. Dentists can address various types of staining, from those caused by coffee, tea, and tobacco to those resulting from aging or certain medications. The treatments are tailored to the individual’s needs and dental health, ensuring optimal results while minimizing potential side effects. This professional approach delivers long-lasting, impressive results compared to at-home alternatives, enhancing both the aesthetic appeal and the confidence of the patient.
Types of Teeth Whitening Procedures
There are two primary methods dentists use for teeth whitening: in-office whitening and take-home whitening trays. Each method offers distinct advantages and is selected based on the patient’s preferences, the severity of the discoloration, and the desired outcome. The choice between these methods often depends on the time commitment, the immediacy of results, and the overall budget. Both methods, however, are designed to improve the aesthetic appearance of the teeth, boosting the patient’s self-esteem and enhancing their overall dental health profile, highlighting the importance of a personalized approach to achieve the best possible results and ensure patient satisfaction.
In-Office Whitening (Chairside Whitening)

In-office whitening, also known as chairside whitening, is a procedure performed entirely at the dentist’s office. This method typically involves applying a high-concentration bleaching agent to the teeth, often containing a significant amount of hydrogen peroxide. A special light or laser may be used to activate the bleaching agent, accelerating the whitening process. The procedure usually takes about an hour to complete, making it a convenient option for those seeking immediate results. Because the dentist controls the entire process, it offers a higher level of safety and can achieve dramatic results in a single session. The immediate impact and the professional oversight make in-office whitening a popular choice for patients preparing for special events or seeking a quick smile makeover. The dentist can also monitor and manage any sensitivity, ensuring the patient’s comfort throughout the procedure. Image: in-office-teeth-whitening.webp
Take-Home Whitening Trays
Take-home whitening trays involve custom-fitted trays that the dentist provides after taking an impression of the patient’s teeth. These trays are designed to fit snugly and comfortably over the teeth, ensuring even application of the whitening agent. The patient fills the trays with a lower-concentration bleaching gel and wears them for a specified period each day, typically for a few hours or overnight, depending on the product and the dentist’s instructions. This method allows for a more gradual whitening process, providing flexibility and convenience. The dentist will guide how to use the trays, and the patient can control the pace and intensity of the whitening, ensuring it aligns with their comfort and preferences. While it requires more time to achieve the desired results compared to in-office whitening, take-home trays offer a cost-effective solution and are suitable for maintaining and enhancing the results of professional treatments. Image: take-home-whitening-trays.webp
Factors Influencing the Cost of Teeth Whitening
The cost of teeth whitening at a dentist varies depending on several factors, making it essential to understand what contributes to the final price. Understanding these elements can help you budget effectively and make informed decisions about your teeth whitening treatment. Factors include geographic location, dentist experience, the type of treatment selected, and the severity of the tooth staining. Each of these aspects significantly impacts the cost, and considering these factors will ensure you get the best value for your investment. Thorough research, consultations, and clear communication with your dentist will ensure that you are well-informed before commencing any teeth-whitening procedure.
Geographic Location

The location of the dental practice significantly influences the cost of teeth whitening. Dental practices in urban areas or regions with a higher cost of living typically charge more for their services, including teeth whitening. This is because operating costs such as rent, utilities, and staff salaries are generally higher in these areas. Conversely, practices in more rural or less affluent areas may offer teeth whitening at a more affordable price. Researching local dental practices and comparing prices within your area is advisable to understand the average cost and find the most cost-effective option. The supply and demand for cosmetic services in your region, alongside the general economic conditions, also contribute to the pricing differences. Image: geographic-location-teeth-whitening.webp
The Dentist’s Experience
The experience and expertise of the dentist performing the teeth whitening procedure can also influence the cost. Dentists with more experience, advanced training, and a strong reputation for cosmetic dentistry often charge higher fees. This is because their extensive knowledge, skill, and specialized techniques can deliver superior results and ensure patient satisfaction. While it might seem tempting to opt for the lowest-priced option, considering the dentist’s credentials, reviews, and before-and-after photos is important. Choosing an experienced dentist can reduce the risk of complications and ensure the treatment meets your expectations, justifying the potentially higher cost. Also, specialized equipment and advanced techniques used by more experienced dentists can contribute to the overall price.
The Type of Whitening Treatment
The type of teeth whitening treatment you choose significantly impacts the cost. In-office whitening, which offers immediate results, is generally more expensive than take-home whitening trays. This is due to the higher concentration of bleaching agents, the specialized equipment used, and the dentist’s time and expertise required for the in-office procedure. Take-home whitening trays are typically less expensive because the patient performs the treatment at home, reducing the dentist’s chair time and overhead costs. Combination treatments, which involve both in-office and at-home methods, are also available and are priced accordingly. The choice should depend on your desired results, budget, and the convenience factor, with the dentist helping to determine the best treatment plan for you. Your preferences alongside your dental health situation should be considered.
The Severity of Staining

The extent and severity of the tooth staining also affect the cost of teeth whitening. Teeth with more severe stains, such as those caused by tetracycline or other deep-seated discoloration, may require more treatment sessions or a higher concentration of bleaching agents to achieve the desired results. This can increase the overall cost of the procedure. In some cases, your dentist might recommend additional pre-treatment steps, such as professional cleaning or polishing, to optimize the whitening results, which will also add to the cost. During your initial consultation, the dentist will evaluate the severity of the staining and provide an estimated cost based on the complexity of the treatment needed. Discussing your expectations and concerns with your dentist will help ensure you understand the potential costs and can make an informed decision.
The Benefits of Teeth Whitening at the Dentist
Teeth whitening at a dentist offers several benefits over over-the-counter alternatives, including more effective and lasting results. Professional teeth whitening can boost your confidence and enhance your overall appearance. The advantages extend beyond aesthetics, providing tangible benefits to both your dental health and overall well-being. The process combines professional expertise, safe procedures, and tailored solutions, providing a comprehensive approach to achieving a brighter, healthier smile.
Professional Results
One of the primary advantages of teeth whitening at the dentist is the superior results achieved. Dentists use stronger bleaching agents, which over-the-counter products do not contain. These higher concentrations of hydrogen peroxide or carbamide peroxide can effectively penetrate the enamel and remove deeper stains, resulting in a dramatically whiter smile. Professional treatments are more likely to remove stubborn stains caused by coffee, tea, tobacco, and aging. Your dentist can also manage the process, ensuring the whitening agent is applied correctly and evenly to all teeth. This professional approach guarantees consistent and visible improvements, which many at-home products may struggle to deliver. The ability to achieve significant whitening in a single visit or a short period is a major benefit, providing a noticeable transformation in your smile. Image: teeth-whitening-benefits.webp
Customized Treatment

Teeth whitening at a dentist allows for a personalized treatment plan tailored to your specific needs and dental health. Dentists can assess your teeth and gums, identify the cause of discoloration, and recommend the most effective whitening method. This personalized approach ensures the treatment is safe and appropriate for your individual needs. Dentists consider factors such as the severity of the staining, the type of stains, and any underlying dental conditions before recommending a treatment. This customization reduces the risk of side effects and maximizes the whitening results. The dentist can also address any pre-existing dental issues, such as cavities or gum disease, before starting the whitening process, ensuring a healthy and successful outcome. By tailoring the treatment to you, the results are typically more satisfying and lasting.
Safety and Supervision
Teeth whitening at the dentist ensures the process is performed under the supervision of a trained professional, enhancing your safety. Dentists are experienced in the proper application of whitening agents and can monitor your progress, minimizing the risk of potential side effects such as gum irritation and tooth sensitivity. They take precautions to protect your gums and soft tissues during the procedure. They can also manage any discomfort or adverse reactions effectively. Professional oversight also guarantees that the whitening treatment adheres to the highest safety standards and adheres to dental guidelines. The dentist can also provide recommendations and guidelines for aftercare, ensuring the longevity of your results and maintaining your overall oral health.
Potential Risks and Side Effects
While teeth whitening is generally safe, potential risks and side effects exist, and it’s essential to be aware of them before undergoing the procedure. The most common side effects are temporary and manageable, but understanding these can help you make informed decisions and prepare for your treatment. While serious complications are rare, discussing these potential issues with your dentist can provide clarity and peace of mind.
Sensitivity

Tooth sensitivity is a common side effect of teeth whitening. The bleaching agents can temporarily make your teeth more sensitive to hot and cold temperatures. This sensitivity typically subsides within a few days of completing the whitening treatment. Your dentist may recommend using toothpaste designed for sensitive teeth or a fluoride treatment to alleviate discomfort. Avoiding excessively hot or cold foods and drinks immediately after the procedure can also help. In some cases, the dentist might adjust the concentration of the whitening agent or recommend alternative treatments to minimize sensitivity. Being prepared for this potential side effect can help you manage any discomfort and ensure a smooth recovery.
Gum Irritation
Gum irritation is another potential side effect of teeth whitening. The bleaching agents can sometimes come into contact with your gums, causing inflammation or soreness. Your dentist takes precautions to protect your gums during the procedure. This includes using protective barriers, such as cheek retractors and gingival dams. If irritation occurs, it is usually mild and resolves within a few days. Avoiding aggressive brushing and using a gentle toothpaste can help manage the discomfort. You should inform your dentist if you experience significant or prolonged gum irritation. They may adjust the treatment or offer soothing treatments to ease the symptoms.
How to Maintain Your White Smile
Maintaining a white smile after teeth whitening requires consistent care and attention. Following a few simple steps can significantly extend the longevity of your results and prevent the reappearance of stains. Combining these practices with regular dental check-ups and cleanings can ensure a consistently radiant smile. The goal is to prevent new stains and maintain the brightness achieved during the whitening process. Maintaining the results of your teeth whitening helps preserve your investment, boosts your confidence, and keeps your smile looking its best.
Follow-up Appointments

Regular follow-up appointments with your dentist are crucial for maintaining your white smile. These check-ups allow your dentist to monitor your oral health, address any potential issues, and provide professional cleanings. During these appointments, your dentist can also assess the effectiveness of your whitening treatment and recommend touch-up treatments if necessary. Maintaining good oral hygiene practices, such as brushing and flossing regularly, is vital. Your dentist can guide any necessary adjustments to your oral care routine, including recommending specific products that can help maintain your smile. Regular professional cleanings remove surface stains and keep your teeth polished and bright. These appointments are essential to ensure long-lasting results and maintain the health and appearance of your teeth. Image: follow-up-appointments.webp
Avoid Staining Foods and Drinks
Avoiding staining foods and drinks can help prevent the recurrence of stains and maintain your white smile. Certain foods and beverages contain pigments that can gradually discolor your teeth. Limit or avoid consuming coffee, tea, red wine, and dark sodas. These drinks are known for their staining properties. Foods like berries, curries, and soy sauce can also contribute to staining. Rinsing your mouth with water or brushing your teeth after consuming staining foods and drinks can help minimize their impact. Using a straw when drinking dark-colored beverages can reduce their contact with your teeth. Making conscious dietary choices and practicing diligent oral hygiene can protect your investment and help maintain a bright, white smile. Image: avoid-staining-foods-drinks.webp
