What are Dental Bridges
Dental bridges are essential restorative dental appliances designed to fill the gaps left by missing teeth. These bridges, as the name suggests, bridge the space where one or more teeth are absent. Typically, a dental bridge comprises one or more artificial teeth, known as pontics, anchored by crowns that are cemented onto the adjacent natural teeth or implants. These crowns act as abutments, providing the necessary support to hold the pontics in place. The primary function of a dental bridge is to restore the functionality of the mouth by enabling proper chewing and speech while simultaneously preventing the remaining teeth from shifting and maintaining the overall alignment of the dental arch. Bridges are often made from various materials like porcelain, ceramic, or a combination of metal and porcelain, which are selected based on aesthetic considerations and the specific requirements of the patient. The selection of materials and the bridge design are critical, especially for achieving a natural appearance and ensuring the long-term stability and success of the bridge. The placement of a dental bridge is a significant step in maintaining dental health, as it addresses not only the cosmetic aspects of tooth loss but also prevents more complex dental issues. Without this intervention, the patient may face complications like the migration of adjacent teeth, bite misalignment, and an increased risk of gum disease.
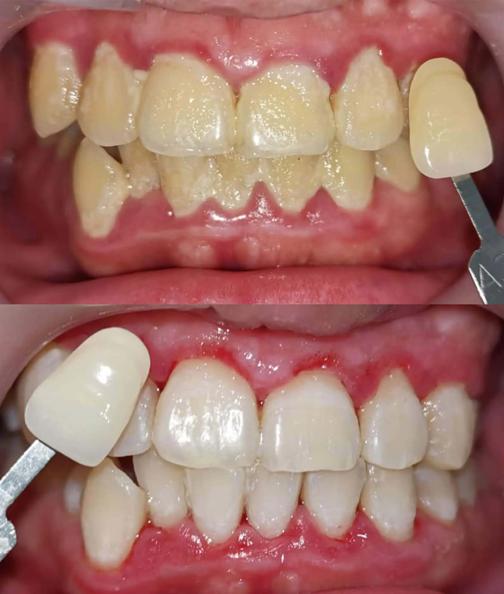
How Bridges Affect Whitening
Understanding how dental bridges influence teeth whitening is crucial for anyone considering enhancing their smile. A key aspect to note is that dental bridges, especially those made from porcelain or ceramic, do not whiten in the same way natural teeth do. Teeth whitening treatments, such as those involving peroxide-based solutions, work by penetrating the enamel and dentin of the natural teeth, breaking down the stain molecules that cause discoloration. However, the material used in bridges is inert and does not react to these whitening agents, which means the color of the bridge will remain unchanged during the teeth whitening process. This creates a noticeable contrast if the natural teeth around the bridge become significantly whiter, while the bridge itself retains its original shade. Consequently, patients need to carefully consider the existing color of their bridge and the desired shade of their natural teeth before starting any whitening procedures. The goal is to ensure a harmonious and consistent appearance throughout the smile. It may also be advisable to replace the bridge after the whitening procedure to match the new shade of the natural teeth, although this will depend on the overall aesthetics and the patient’s individual preferences.
The Limitations of Whitening Bridges

The limitations of teeth whitening for dental bridges are primarily rooted in the materials used to construct these restorative devices. The materials from which bridges are made, such as porcelain or ceramic, are designed to mimic the appearance of natural teeth; however, they possess distinct properties that prevent them from being altered through conventional whitening treatments. Unlike natural teeth, which have a porous structure that allows whitening agents to penetrate and lighten the enamel, bridges are non-porous. The whitening agents can’t effectively interact with the bridge material, so the original shade of the bridge persists throughout the whitening process. This is particularly important for anyone with dental bridges, and it’s crucial to consider before starting any teeth whitening. The existing color of the bridge must be kept in mind to avoid a mismatch after whitening. If the natural teeth brighten, the bridge might seem darker by contrast. The only option to fix this issue is to replace the bridge after whitening the natural teeth. Patients should discuss these limitations with their dentist to set realistic expectations and to plan their smile enhancement strategy accordingly. Other aspects, such as the age of the bridge, its material, and its current condition, will influence the ultimate decision.
Whitening Options for Natural Teeth
While dental bridges themselves cannot be whitened, several effective teeth whitening options are available for the natural teeth surrounding the bridge, allowing patients to brighten their overall smile. Over-the-counter whitening products, such as whitening strips, toothpastes, and gels, are easily accessible for home use. These products generally contain lower concentrations of hydrogen peroxide or carbamide peroxide, the active whitening agents, and can provide noticeable results over a few weeks of consistent use. For more dramatic results, professional whitening treatments performed by a dentist offer a higher concentration of whitening agents and are often combined with light or laser activation to accelerate the process. This procedure typically involves applying a gel to the teeth and using a special light to enhance the whitening effect. It’s essential for patients to consult with their dentist to determine the most appropriate whitening option based on their specific needs and the degree of desired change. The dentist can also assess the overall health of the teeth and gums, ensuring that whitening is a safe and suitable option, and can provide guidance to achieve the best possible outcome. Maintaining the right shade consistency between the natural teeth and the bridge is an important consideration when choosing a whitening method.
Professional Whitening Treatments for Bridges
Professional whitening treatments are highly recommended for achieving more effective and noticeable results compared to over-the-counter products, particularly when addressing the color of natural teeth adjacent to dental bridges. Dentists can use stronger concentrations of hydrogen peroxide or carbamide peroxide in a controlled clinical environment, which is crucial for achieving significant whitening. During the professional whitening procedure, a protective barrier is applied to the gums to prevent irritation, ensuring the safety of the treatment. The whitening agent is then carefully applied to the teeth, and in many cases, a special light or laser is used to activate the solution and accelerate the whitening process. These treatments often involve multiple sessions to reach the desired level of brightness. After the natural teeth are whitened, the dentist can evaluate the shade of the bridge in relation to the newly whitened teeth. If a mismatch is visible, replacing the bridge might be recommended to ensure a uniform and harmonious smile. Professional whitening treatments not only deliver superior results but also involve a thorough assessment of the patient’s oral health, addressing any potential underlying issues that may affect the success of the whitening process. Professional care ensures both aesthetic improvements and the well-being of the teeth.
Maintaining Your Smile After Whitening

Maintaining a bright, white smile following teeth whitening, especially when bridges are involved, requires a diligent and comprehensive approach. Regular dental check-ups and cleanings are vital for maintaining oral health and ensuring the longevity of the whitening results. These professional cleanings help to remove any surface stains that can gradually dull the brightness of the teeth. Daily oral hygiene practices, including brushing twice a day with a whitening toothpaste and flossing once daily, are essential for preventing new stains from forming. Avoiding or minimizing the consumption of stain-causing foods and beverages such as coffee, tea, red wine, and darkly pigmented fruits is another important measure. Using a straw for beverages can also help to minimize direct contact with the teeth. Furthermore, patients should avoid smoking, as tobacco use is a significant contributor to tooth discoloration. If the bridge’s original color no longer matches the whitened natural teeth, discussing options like bridge replacement with a dentist should be considered to maintain a consistent and aesthetically pleasing smile. Proper maintenance is key for making sure that the whitening results will last and preserve the investment made in achieving a brighter, healthier smile.
Importance of Oral Hygiene
Maintaining excellent oral hygiene is crucial for preserving the results of teeth whitening and ensuring the overall health of your mouth, particularly if you have dental bridges. Effective oral hygiene practices include regular brushing and flossing. Brushing at least twice a day with a soft-bristled toothbrush and fluoride toothpaste helps to remove plaque, food particles, and surface stains. Flossing daily is equally important, as it cleans the areas between teeth and around the gumline, which brushing cannot reach. This helps to prevent gum disease and tooth decay, which can affect the overall appearance of your smile. Using an antimicrobial mouthwash can provide an additional layer of protection by reducing bacteria and freshening breath. For individuals with dental bridges, special attention should be given to cleaning around the bridge to prevent the accumulation of plaque and food debris. This might involve using floss threaders, interdental brushes, or water flossers. Regular dental check-ups and professional cleanings are also essential. Your dentist can evaluate the overall health of your teeth and gums and remove any tartar buildup or stains that regular brushing and flossing might miss. Oral hygiene is not just about the aesthetics of your smile. It’s also essential for maintaining good oral health, which can have a positive impact on your overall health.
Diet and Lifestyle Considerations
Both your diet and lifestyle choices have a significant impact on the longevity of your teeth whitening results and the overall health of your teeth and gums, especially if you have dental bridges. Certain foods and beverages are known to stain teeth, and their consumption should be limited. These include coffee, tea, red wine, dark juices, and highly pigmented fruits like berries. Smoking and other tobacco products are also major contributors to tooth discoloration. Avoiding or minimizing these items can help preserve the brightness of your whitened teeth. A balanced diet rich in vitamins and minerals supports overall oral health. Foods high in calcium, such as dairy products and leafy green vegetables, are particularly beneficial for strengthening teeth. Crunchy fruits and vegetables like apples and carrots can help to naturally clean the teeth and stimulate saliva production, which helps to wash away food particles and neutralize acids. Drinking plenty of water is also important, as it helps to keep your mouth hydrated and prevents staining. Regular dental visits, maintaining consistent oral hygiene practices, and avoiding excessive consumption of staining foods and drinks are key to preserving your bright, healthy smile.
