The Link Between Teeth Whitening and Gum Recession
Teeth whitening is a popular cosmetic procedure, but it’s crucial to understand its potential effects, especially concerning gum health. For those experiencing gum recession, the risks associated with teeth whitening can be amplified. Gum recession, a condition where the gums pull back, exposing more of the tooth and the root, creates increased sensitivity and vulnerability. This article delves into the correlation between teeth whitening and gum recession, highlighting the potential risks and offering guidance on how to mitigate them. Understanding these factors is key to making informed decisions about your oral health and cosmetic dental procedures. It’s important to remember that the goal is to achieve a brighter smile while maintaining and protecting the health of your gums and teeth.
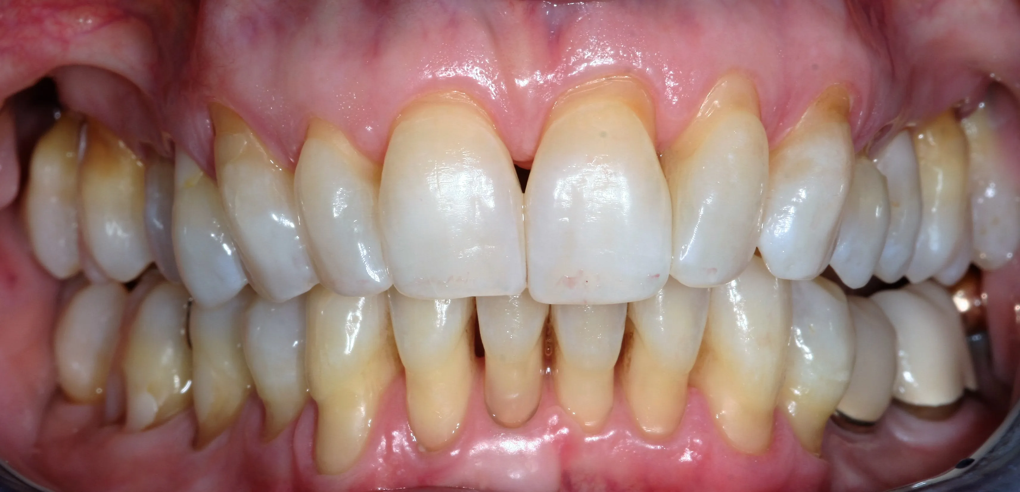
Understanding Gum Recession Basics
Gum recession is a common dental issue where the gum tissue surrounding the teeth recedes or wears away, exposing more of the tooth and its root. This can lead to increased sensitivity to hot and cold foods and drinks, as well as a higher risk of tooth decay and tooth loss. The root surfaces are not protected by enamel, making them more susceptible to damage. Receding gums can also alter the appearance of your smile, making your teeth look longer. Early detection and treatment are vital to prevent further complications. Regular dental check-ups and good oral hygiene practices are crucial for managing gum recession. Understanding the causes and symptoms is the first step in addressing this condition effectively and maintaining optimal oral health.
What Causes Gum Recession

Gum recession can stem from various factors, including aggressive tooth brushing, which can wear down the gum tissue over time. Periodontal diseases, such as gingivitis and periodontitis, are significant contributors, as inflammation and infection can damage the gums and supporting bone. Genetic predisposition also plays a role, with some individuals naturally having thinner gum tissues, making them more susceptible. Other causes include hormonal changes, tobacco use, teeth grinding or clenching, and even improper dental care. Understanding the underlying causes is essential for prevention and effective treatment strategies. Identifying and addressing these causes is a critical step in maintaining healthy gums and preventing further recession.
Teeth Whitening Procedures & Their Impact
Teeth whitening procedures utilize bleaching agents, primarily hydrogen peroxide or carbamide peroxide, to lighten the enamel of the teeth. These agents work by breaking down stains and discolorations within the tooth structure. While teeth whitening can significantly enhance the appearance of your smile, it’s important to consider its potential impact on the gums. The chemicals used in whitening products can sometimes irritate or inflame the gum tissue, especially if it is already compromised due to recession. Careful application and monitoring are crucial to minimize risks and ensure the health of both teeth and gums. Selecting the right method based on your oral health condition is essential for safe and effective teeth whitening.
Over-the-Counter Whitening Products
Over-the-counter teeth whitening products, such as strips, gels, and toothpastes, offer convenience and affordability. However, these products often contain lower concentrations of bleaching agents compared to professional treatments. This can result in milder effects and may require prolonged use. Individuals with gum recession should exercise caution when using these products. The chemicals can potentially irritate exposed root surfaces and inflamed gum tissue. Following the instructions carefully and being aware of any signs of sensitivity or irritation is essential. If you have receding gums, it is advisable to consult with a dentist before using over-the-counter whitening products to ensure they are safe for your specific oral health situation.
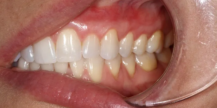
Professional Teeth Whitening Treatments

Professional teeth whitening treatments performed by a dentist offer stronger bleaching agents and more controlled application. This can lead to more dramatic and faster results. Dentists can also take measures to protect the gums, such as using a rubber dam or protective gel to shield the gum line from the whitening solution. They can assess your oral health and tailor the treatment to minimize any risks associated with gum recession. While professional treatments are generally safer, it is still possible to experience temporary sensitivity or gum irritation. Regular check-ups and open communication with your dentist are crucial throughout the process.
Top 5 Risks of Teeth Whitening with Gum Recession
When teeth whitening is performed on individuals with gum recession, several risks may arise. Understanding these risks is essential for making informed decisions and taking appropriate precautions. The exposed root surfaces and already vulnerable gum tissue can make teeth whitening more problematic, potentially leading to complications. It’s important to weigh the benefits of teeth whitening against the potential adverse effects, especially if you have receding gums. Working with a dental professional can help assess your specific risks and determine the best course of action to ensure both a brighter smile and optimal oral health.
Risk 1 Increased Sensitivity
Teeth whitening can increase tooth sensitivity, which is even more pronounced in those with receding gums. The bleaching agents can penetrate the exposed dentin of the tooth roots, irritating the nerves and causing sensitivity to hot, cold, or sweet foods and drinks. This discomfort can range from mild to severe and may last for several days or weeks after the whitening treatment. Individuals with gum recession should be particularly cautious and consider using desensitizing toothpaste before and after whitening to manage this risk. If the sensitivity is prolonged or severe, it’s essential to consult your dentist for advice and possible remedies.
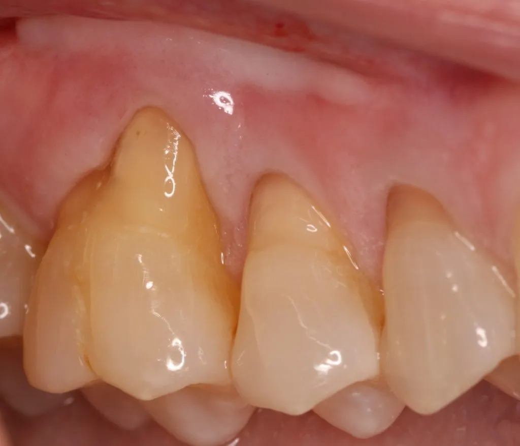
Risk 2 Gum Irritation and Inflammation

The chemicals in teeth whitening products can irritate the gum tissue, leading to inflammation, redness, and swelling. This risk is higher in those with gum recession because the exposed gum line is more susceptible to irritation. The whitening agent can come into direct contact with the sensitive gum tissue, causing a chemical burn or irritation. This can be very uncomfortable and, in some cases, may even lead to a temporary or more serious inflammation. Careful application techniques, such as using protective barriers, and choosing professional treatments with the guidance of a dentist, can minimize this risk.
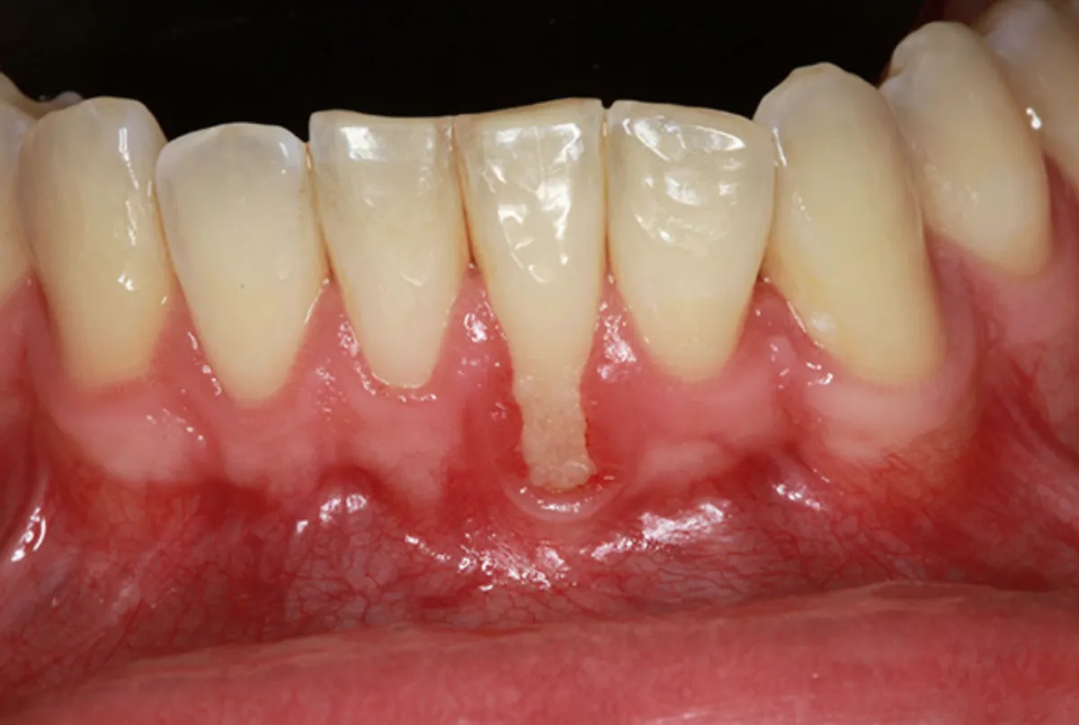
Risk 3 Worsening Existing Recession
Teeth whitening itself does not directly cause gum recession, but it can exacerbate the condition in individuals who already have it. The chemical irritation from the whitening agents can further damage or inflame the already vulnerable gum tissue, potentially leading to further recession. This can expose more of the tooth root, increasing sensitivity and the risk of decay. Regular monitoring and proper oral hygiene are essential to prevent the worsening of existing recession. Your dentist can provide guidance on how to care for your gums and teeth during and after whitening treatments to minimize any adverse effects.
Risk 4 Chemical Burns to Gum Tissue
If teeth whitening products are not applied correctly, they can cause chemical burns to the gum tissue. This is more likely with higher concentrations of whitening agents and improper application techniques. The burns can cause pain, blistering, and inflammation, and in severe cases, may require medical attention. Individuals with gum recession are particularly at risk due to the exposed gum tissue. Professional teeth whitening treatments administered by a dentist are usually performed with protective measures to prevent chemical burns. Always follow the instructions provided with over-the-counter products and seek professional advice if you experience any adverse effects.
Risk 5 Long-Term Oral Health Complications

While teeth whitening itself typically doesn’t cause long-term oral health problems, the increased sensitivity and potential irritation from whitening agents can contribute to other issues. For instance, increased sensitivity can make it difficult to maintain proper oral hygiene, as brushing and flossing may become painful. This can lead to a buildup of plaque and bacteria, increasing the risk of tooth decay and gum disease. Addressing any existing oral health issues before teeth whitening is crucial. Regular dental check-ups and good oral hygiene practices are essential for maintaining overall oral health and preventing complications.
Minimizing the Risks Associated with Teeth Whitening
Fortunately, there are several steps you can take to minimize the risks of teeth whitening, particularly if you have gum recession. Careful planning, proper techniques, and professional guidance can help you achieve a brighter smile while safeguarding your gum health. The key is to be proactive, communicate openly with your dentist, and follow their recommendations. Prioritizing your oral health before, during, and after the whitening process is critical to ensure a positive outcome and long-term oral well-being. Make informed decisions and seek professional advice to ensure a safe and effective teeth whitening experience.
Choosing the Right Whitening Method
The choice of whitening method is crucial for those with gum recession. Professional treatments offer more control and often include protective measures for the gums. Your dentist can evaluate your specific situation and recommend the most appropriate whitening option. Over-the-counter products may be suitable if used cautiously and under the guidance of a dentist. Consider the concentration of the bleaching agent, the application method, and the potential for gum irritation. The goal is to choose a method that is effective in whitening your teeth while minimizing the risk of harming your gums. Consulting a dental professional is the best way to determine the most suitable approach.
Proper Oral Hygiene Practices

Maintaining good oral hygiene is essential before, during, and after teeth whitening. Gently brushing and flossing regularly can help remove plaque and bacteria, reducing the risk of gum irritation and inflammation. Use a soft-bristled toothbrush and avoid aggressive brushing, which can worsen gum recession. Consider using desensitizing toothpaste to minimize sensitivity. Following your dentist’s instructions on oral hygiene is crucial for maintaining healthy gums and teeth. Proper oral care can help you protect the health of your gums and teeth throughout the whitening process and beyond.
Consulting a Dental Professional
Before undergoing any teeth whitening treatment, especially if you have gum recession, it is essential to consult with a dental professional. They can assess your oral health, identify any existing issues, and provide personalized recommendations. Your dentist can determine the suitability of teeth whitening for your situation and guide you on the most appropriate treatment options. They can also explain the potential risks and provide tips on how to minimize them. Regular dental check-ups and open communication with your dentist are critical for successful and safe teeth whitening. It’s essential to have a professional assess your situation to ensure the best possible outcome for your smile and oral health.
Conclusion
Teeth whitening can be a rewarding cosmetic procedure, but it’s important to understand the potential risks, especially for those with gum recession. By being aware of the potential complications and taking appropriate precautions, you can safely brighten your smile while maintaining your oral health. Always prioritize your gum health, communicate with your dentist, and follow their recommendations. With the right approach, you can achieve a beautiful, healthy smile. Remember that informed decisions and proactive care are key to enjoying the benefits of teeth whitening without compromising the health of your gums and teeth. Always consult with a dental professional to determine the best course of action for your individual needs.
