Understanding Teeth Whitening
Teeth whitening is a popular cosmetic dental procedure designed to lighten the color of your teeth and improve your smile. It works by using bleaching agents, usually hydrogen peroxide or carbamide peroxide, to break down stains and discoloration within the enamel. While the procedure can deliver impressive results, it’s essential to understand that teeth whitening is not a permanent solution. The longevity of your brightened smile depends on several factors, including the whitening method, your oral hygiene habits, and your lifestyle. Understanding these elements is crucial for managing expectations and ensuring the best possible outcome for your investment in a brighter smile. This guide aims to provide a comprehensive overview of the factors that influence how long your teeth whitening results will last, empowering you to make informed decisions and maintain your radiant smile for as long as possible.
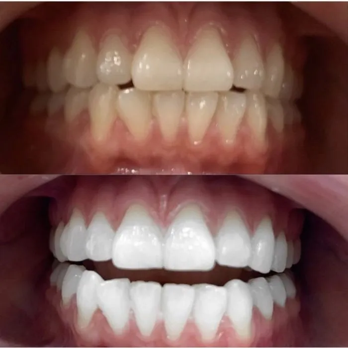
How Long Does Teeth Whitening Last?
The duration of teeth whitening results varies significantly from person to person. Generally, professional whitening treatments performed by a dentist can last anywhere from six months to three years. However, the results from over-the-counter whitening products, such as whitening strips or toothpastes, may only last for a few months. Several elements play a role in determining how long the effects of teeth whitening will remain noticeable. These include the type of whitening treatment used, the presence of stains, oral hygiene practices, and lifestyle choices. It is important to note that individual results may vary, but by understanding these key factors, you can take proactive steps to maximize the longevity of your newly whitened smile and minimize the need for frequent touch-up treatments. Regular dental check-ups and a diligent oral care routine are vital in helping you maintain your desired level of brightness.
The Top 5 Factors Influencing Whitening Duration

Several key factors significantly influence how long your teeth whitening results will last. Understanding these elements is crucial for managing your expectations and maintaining a bright, healthy smile. The whitening method itself, encompassing both professional and at-home options, plays a pivotal role. The type of stains and discoloration present on your teeth is another important factor, with surface stains responding differently to treatments than deeper, intrinsic stains. Furthermore, your daily oral hygiene routine, including brushing and flossing habits, can greatly affect the longevity of your results. The foods and drinks you consume, particularly those known to stain teeth, also significantly impact your smile’s brightness. Finally, lifestyle choices, such as smoking, can dramatically shorten the lifespan of your teeth whitening effects. By considering and managing these factors, you can significantly extend the time your teeth remain white and radiant.
The Whitening Method
The type of whitening method you choose is a primary determinant of how long the results will last. Professional teeth whitening, performed by a dentist, typically uses stronger bleaching agents and can achieve more dramatic and longer-lasting results compared to at-home options. In-office treatments often involve high concentrations of hydrogen peroxide and can be activated with special lights or lasers to accelerate the whitening process. These professional procedures can last from one to three years, depending on individual habits. At-home whitening kits, such as strips or custom trays with bleaching gel, contain lower concentrations of the active ingredients and are designed for gradual whitening over several weeks. While these may be more convenient, they usually deliver less dramatic results and may require more frequent touch-up treatments to maintain your desired shade. The choice of method should be based on your dental health, the extent of discoloration, and personal preferences.
Professional vs. At-Home Treatments
Professional teeth whitening, conducted by a dentist, typically provides the longest-lasting results due to the use of stronger bleaching agents and professional application. Dentists can also address any underlying dental issues, such as cavities or gum disease, before whitening, ensuring the best possible outcome. The process often involves applying a high-concentration peroxide gel to the teeth, which is then activated by a special light. This method can lift stains more effectively and penetrate deeper into the enamel, leading to a brighter and more uniform result. At-home treatments, such as whitening strips, toothpastes, and custom trays, offer convenience and affordability, but they generally deliver less dramatic and shorter-lived results. These products often contain lower concentrations of bleaching agents, requiring consistent use over a longer period. While at-home kits can be useful for minor discoloration and maintenance, they may not be suitable for severe staining or for individuals seeking significant improvements. Consulting your dentist helps you determine which approach is right for you.
The Type of Stains and Discoloration

The type of stains present on your teeth significantly impacts the longevity of whitening results. Extrinsic stains, which affect the surface of the enamel, are typically caused by external factors like coffee, tea, wine, and tobacco. These stains are generally easier to remove and tend to respond well to whitening treatments. Intrinsic stains, on the other hand, are deeper and originate within the tooth structure. These can be caused by factors such as aging, genetics, certain medications (like tetracycline), and trauma. Removing intrinsic stains can be more challenging and may require more intensive whitening procedures or several sessions. Additionally, the color and severity of the initial stains will influence the final outcome and how long the results will last. The more intense the staining, the more likely it is that the whitening effect will diminish over time, potentially necessitating touch-up treatments to maintain a bright smile.
Surface vs. Deep Stains
Surface stains, or extrinsic stains, are those that accumulate on the outer layer of the tooth enamel. These stains are usually caused by foods and beverages with strong pigments, such as coffee, tea, red wine, and berries. They also include stains from tobacco use. Because surface stains reside on the external layer, they are generally easier to remove with whitening treatments. Over-the-counter whitening products, such as strips and toothpastes, are often effective at targeting and removing surface stains. In contrast, deep stains, also known as intrinsic stains, are found within the tooth structure, making them harder to treat. These can result from aging, genetic factors, certain medications (like tetracycline), and internal trauma to the tooth. Deep stains may require stronger whitening treatments, such as those provided by a dentist, to penetrate and lighten the discoloration effectively. Maintaining excellent oral hygiene and avoiding staining foods and beverages helps to minimize the accumulation of both types of stains and extend your teeth whitening duration.
Your Oral Hygiene Routine
A consistent and thorough oral hygiene routine is crucial for maintaining your teeth whitening results. Regular brushing, flossing, and dental check-ups will help remove plaque, bacteria, and surface stains, preventing your teeth from re-staining quickly. Brushing at least twice a day with a whitening toothpaste can assist in removing new stains before they set in. Flossing once daily is also essential to remove food particles and plaque from between your teeth and below the gum line, areas that brushing can’t reach. Additionally, regular professional dental cleanings every six months are important for removing built-up tartar and surface stains that you may not be able to remove at home. By maintaining a diligent oral care routine, you’ll not only enhance the longevity of your whitening treatment but also improve your overall oral health, contributing to a brighter, healthier smile for a longer period.
Brushing and Flossing Habits

Proper brushing and flossing techniques are fundamental components of a good oral hygiene routine, directly affecting how long teeth whitening lasts. Brushing your teeth twice a day for at least two minutes each time with a soft-bristled toothbrush is recommended to gently remove food particles, plaque, and surface stains. Consider using a whitening toothpaste, as these often contain mild abrasives that help remove surface stains, but be careful not to over-brush, as excessive force can damage the enamel. Flossing daily is equally important, as it removes plaque and food debris from areas that brushing can’t reach, such as between your teeth and under your gum line. This helps to prevent staining and promotes healthier gums, which further contributes to the overall appearance of your smile. Combining these practices with regular dental check-ups and cleanings ensures your teeth stay bright and healthy for a prolonged time.
Dietary Choices and Habits
Your dietary choices play a significant role in how long your teeth whitening results will last. Certain foods and beverages are notorious for staining teeth due to their high pigment content. Regularly consuming these items can lead to the gradual return of discoloration. Coffee, tea, red wine, and dark-colored fruit juices are common culprits. Similarly, dark-colored sauces like soy sauce and balsamic vinegar can contribute to staining. Avoiding or limiting the consumption of these items, especially in the immediate aftermath of a whitening treatment, is recommended. If you do consume staining foods or drinks, consider drinking water afterward to help rinse away the pigments and reduce the chances of staining. Paying attention to your diet and making conscious choices can greatly extend the lifespan of your whitened smile, maintaining its radiance and appeal for a longer period.
Foods and Drinks that Stain Teeth
Several foods and drinks are known for their high staining potential, and limiting your intake can significantly help maintain your teeth whitening results. Coffee and tea, particularly black tea, contain tannins that can stain your teeth over time. Red wine is another significant offender, containing chromogens that bind to the enamel, causing discoloration. Dark-colored fruit juices, such as cranberry and blueberry juice, also have high staining potential. Additionally, certain sauces like soy sauce and balsamic vinegar can contribute to staining. Other foods to be mindful of include berries (strawberries, blueberries, and raspberries) and foods with strong colorants. If you choose to consume these items, rinse your mouth with water immediately afterward, or brush your teeth if possible. Being mindful of your dietary choices is essential to prolong the brightness of your smile after teeth whitening. Consider using a straw for beverages to minimize direct contact with your teeth.
The Role of Lifestyle Factors

Lifestyle choices have a considerable impact on the duration of your teeth whitening results. Smoking and the use of tobacco products are major contributors to tooth discoloration, as they contain nicotine and tar, which stain the teeth. These substances not only stain the teeth but also decrease blood flow in the gums, making it more difficult to maintain healthy teeth. Excessive alcohol consumption can also affect teeth whitening longevity, particularly red wine. Additionally, poor oral hygiene habits and irregular dental check-ups may cause stains to develop more rapidly. Adopting a healthy lifestyle by avoiding smoking, limiting alcohol consumption, and practicing consistent oral hygiene practices helps to preserve your white smile and improve your overall dental health. The choices you make regarding your lifestyle directly impact how long your teeth whitening results will last, highlighting the need for a holistic approach to maintaining your bright smile.
Smoking and Tobacco Use
Smoking and the use of tobacco products are major detractors to the longevity of teeth whitening results. Tobacco contains nicotine and tar, which are notorious for staining teeth, leading to a yellow or brownish discoloration over time. Smoking not only stains the teeth but also reduces the amount of saliva produced, making it easier for stains to set in. Moreover, smoking and tobacco use can damage the gums and increase the risk of periodontal disease, impacting overall oral health. If you have undergone teeth whitening, smoking will significantly shorten the duration of your results, often causing stains to reappear within a few weeks or months. Quitting smoking is one of the best things you can do to extend the life of your whitened smile, improve your oral health, and enhance your overall well-being. Consulting a healthcare professional for resources on quitting can provide the support you need to achieve a brighter, healthier smile.
Maintenance and Aftercare for Longevity
Proper maintenance and aftercare are critical for extending the longevity of your teeth whitening results. Following your dentist’s post-treatment instructions is essential, including adhering to any dietary restrictions and avoiding staining foods and drinks immediately after the procedure. Maintaining a consistent oral hygiene routine, including regular brushing, flossing, and dental check-ups, is paramount. Using a whitening toothpaste or mouthwash can also help remove surface stains and maintain your results, but it is crucial to follow your dentist’s advice. Periodic touch-up treatments might be needed to maintain your desired shade. Furthermore, wearing a custom-fitted night guard can protect your teeth from teeth grinding, preventing enamel damage and maintaining the appearance of your whitened smile. By carefully following aftercare instructions, you can maximize the investment in your smile.
Tips to Extend Your Whitening Results

Several strategies can help extend the lifespan of your teeth whitening results. Avoid or limit your consumption of staining foods and drinks, such as coffee, tea, red wine, and dark-colored berries. If you consume these, rinse your mouth with water immediately afterward or brush your teeth. Maintain a diligent oral hygiene routine, brushing twice a day for two minutes and flossing daily. Consider using a whitening toothpaste or mouthwash to help maintain brightness. Schedule regular dental check-ups and cleanings to remove surface stains and maintain the overall health of your teeth. Consider professional touch-up treatments as recommended by your dentist to address any renewed discoloration. Moreover, quit smoking and avoid tobacco products, as these drastically shorten the duration of your whitening results. By adopting these tips, you can keep your smile bright and white for a longer time, enjoying the benefits of your teeth whitening investment.
